發現早期腸道腫瘤,胃腸鏡檢查很有必要

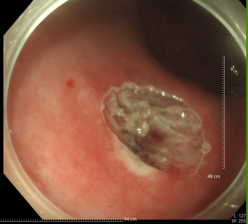
36歲的王先生在蘇州高新區人民醫院行胃腸鏡檢查時,發現直腸裡有1個息肉和2個黏膜下半球型隆起,表面光滑、顏色發黃,大小直徑約1.0cm,當時便做了超聲內鏡檢查,顯示2個隆起的腫物位於直腸黏膜下層,可能是神經內分泌腫瘤,1個粘膜層隆起的息肉可能是腺瘤腫瘤。消化科團隊立即為王先生進行了腸鏡下黏膜剝離術切除了2個粘膜下腫物,同時進行了腸鏡下粘膜切除術解決了1個腺瘤樣息肉,術後病理顯示:2個是神經內分泌瘤NET G1,切緣乾淨。1個管狀腺瘤伴低階別上皮內瘤變(屬於癌前病變),目前王先生恢復良好,已順利出院。

消化內科莊劍波主任介紹:神經內分泌腫瘤是一組起源於肽能神經元和神經內分泌細胞的異質性腫瘤,表現為從緩慢生長的低速惡性到高轉移性等明顯惡性的多樣性腫瘤。消化道是神經內分泌瘤最常見的發病部位,其中直腸起源的神經內分泌瘤佔比高達17.2%。

直腸神經內分泌瘤內鏡下治療的適應證包括腫瘤直徑<1 cm,侷限於黏膜或黏膜下層(T1期)的G1/G2級病變腫瘤。對直徑1-2cm的腫瘤,兼顧根治及功能保全,透過內鏡及影像學充分評估後選擇治療方式。內鏡下黏膜剝離術(ESD)是一項先進的內鏡下四級微創技術,醫生透過電刀,在內鏡下實現對胃腸道表淺病變的治癒性切除。

優勢在於該手術在避免外科手術的創傷、保留器官功能的同時,對病灶進行切緣陰性的整塊切除,具有手術創傷小,時間短,費用低,併發症少,恢復快,預後好等特點腫瘤

莊主任提醒腫瘤,像王先生這樣的患者,平時無任何不適症狀,多虧了體檢行胃腸鏡檢查發現早期腫瘤,否則大腸腺瘤大多數會發展成腸癌,而神經內分泌瘤也有潛在發展成惡性的風險,腸鏡不僅能早期發現,還能切除治療,實現了“腸鏡診斷-治療早期腫瘤一站式的方案”,該案例警示大家體檢做胃腸鏡非常重要!

消化內科諮詢電話腫瘤:0512-69585251

供稿腫瘤:消化內科 凌成軍

初審腫瘤:莊劍波

二審腫瘤:杜雲蘭

三審腫瘤:金添

發現早期腸道腫瘤,胃腸鏡檢查很有必要

展開全文

發現早期腸道腫瘤,胃腸鏡檢查很有必要

發現早期腸道腫瘤,胃腸鏡檢查很有必要
本站內容來自使用者投稿,如果侵犯了您的權利,請與我們聯絡刪除。聯絡郵箱:[email protected]

本文連結://wap.sqhhba.com/post/1516.html

🌐 /